Dental Blog
|
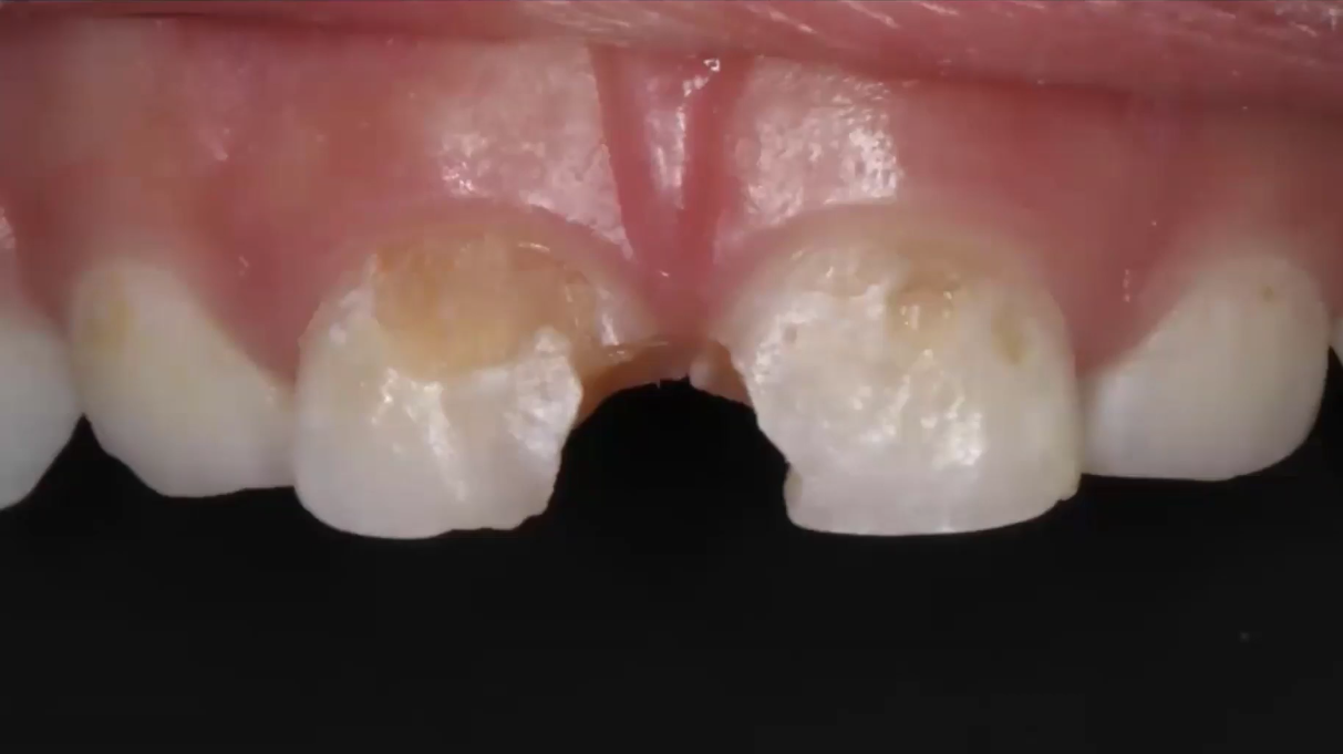
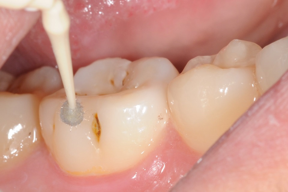
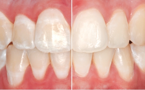
What’s a great way to decrease your chair time and lower your overhead while still producing great aesthetic results? Switch to single shade dentistry!
|
|
If you’re a general practitioner, placing direct composites is something you do quite frequently. And yet, for a seemingly straight-forward procedure, things are not always so straight-forward.
|
















































